Cacing Pita yang Bersarang di Otak Manusia


Seekor cacing pita yang biasanya menginfeksi anjing, katak dan kucing ditemukan telah menyelinap ke dalam otak manusia. Sekuensing genom menunjukkan bahwa cacing itu itu berisi sekitar 10 kali lebih banyak DNA daripada sequencing cacing pita lainnya sejauh ini, yang dapat menjelaskan kemampuannya untuk menyerang banyak spesies yang berbeda.

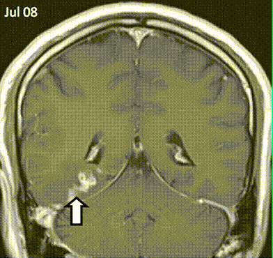
Seperti yang dikutip dari versesofuniverse.blogspot.com, Ketika seorang pria Cina 50 tahun dirawat di rumah sakit Inggris mengeluh sakit kepala, kejang, rasa penciuman berubah dan memori flasback, para dokter kebingungan. Tes untuk Tubercolosis, sifilis, HIV dan penyakit Lyme hasilnya negatif, dan meskipun scan MRI menunjukkan daerah abnormal pada sisi kanan otaknya, biopsi menemukan peradangan, tetapi tidak ada tumor.


MRI yang menunjukkan cacing pita bergerak di otak manusia

Selama empat tahun ke depan, MRI lebih lanjut mencatat wilayah abnormal bergerak di otak manusia (lihat animasi), hingga akhirnya dokter memutuskan untuk melakukan operasi. Merekapun terkejut setelah menemukan cacing pita sepanjang 1 sentimeter.

Ini tampak seperti cacing pita, tapi tidak seperti cacing pita yang ditemukan di Inggris sebelumnya, sehingga sampel jaringan kemudian dikirim ke Hayley Bennett dan rekan-rekannya di Wellcome Trust Sanger Institute di Cambridge, Inggris.

Sequensing genetik mengidentifikasi cacing itu adaah Spirometra erinaceieuropaei, sebuah spesies langka cacing pita yang ditemukan di Cina, Korea Selatan, Jepang dan Thailand. Hanya 300 infeksi manusia telah dilaporkan sejak tahun 1953, dan tidak semua dari mereka ditemukan di otak.

Parasit tersebut memulai hidupnya di air dimana mereka menginfeksi krustasea. Krustaseai kemudian dimakan oleh reptil dan amfibi seperti katak dan ular. Cacing ini kemudian diteruskan ke karnivora besar yang memangsa inang intermediate nya. “Manusia bukanlah inang alami untuk cacing – mereka biasanya ditemukan pada kucing, anjing dan karnivora – sehingga ketika memasuki manusia, cacing tidak bermigrasi ke usus seperti biasanya,” kata Bennett. “Dalam kasus-kasus sebelumnya, mereka telah ditemukan di bawah kulit, di paru-paru atau benjolan payudara. Di mana orang akan mencurigainya sebagai kanker padaha itu adalah cacing”.

Memakan Lemak Otak
Ketika mereka menemukan jalan mereka ke dalam otak, cacing memicu sparganosis otak, atau peradangan, dan inilah yang menyebabkan gejala seperti sakit kepala dan kejang. “Dalam hal ini, pasien melaporkan gejala yang berbeda saat cacing membuat jalan di otaknya,” kata Bennett menambahkan.

Adapun untuk hidup, cacing pita menyerap nutrisi seperti lemak secara langsung melalui kulit mereka, dan jaringan otak kaya asam lemak. “Cacing bergerak di dalam sana, jadi ia harus telah mendapatkan energi dari suatu tempat,” kata Bennett.

Karena cacing ini sangat langka, tim Sanger memutuskan untuk mengambil dan melihat lebih dekat pada genom. Genom nya sekitar 10 kali lebih besar daripada sequensing cacing pita lainnya sejauh ini, dan sekitar sepertiga dari ukuran genom manusia. Bagian ini adalah karena perluasan famili gen tertentu yang membantu parasit menyerang inangnya – ini mungkin mendukung keberhasilannya dalam berbagai hewan.

Sekuensing genom juga mengungkapkan bahwa jenis cacing pita ini tahan terhadap obat anti-cacing pita konvensional yang disebut enzimidazole, tapi mungkin sensitif terhadap obat lain, praziquantel – meskipun dalam kasus ini, operasi pengangkatan cacing dapat menyembuhkannya.

“Kami tidak berharap untuk melihat infeksi semacam ini di Inggris, tapi dengan mudahnya perjalanan global, membuat parasit asing kadang-kadang muncul,” kata Effrossyni Gkrania-Klotsas, dari Departemen Infeksi Penyakit di Rumah Sakit Addenbrooke, yang juga terlibat dalam studi. “Pekerjaan kami menunjukkan bahwa, bahkan hanya dengan jumlah kecil DNA dari sampel klinis, kita dapat mengetahui semua yang kita butuhkan untuk mengidentifikasi dan mengkarakterisasi parasit.”

Baca juga mengenai tungau yang bersarang di wajah tiap manusia disini

This entry passed through the Full-Text RSS service - if this is your content and you're reading it on someone else's site, please read the FAQ at http://ift.tt/jcXqJW.

Previous
Next Post »
Thanks for your comment